多杀性巴氏杆菌分离鉴定、分型、药敏试验及小鼠致病性试验(二)
1.4细菌分离鉴定
取临床送检的病变组织涂布于血平板,于37℃恒温培养箱培养12~24 h,挑取单菌落于加5%胎牛血清的TSB培养基中,37℃振荡培养12 h后提取细菌基因组,以此为模板用16S rRNA引物扩增,将PCR产物测序,经Blast比对为Pm的菌株用接种环划线于血平板,过夜培养后挑取单菌落培养并用革兰染色镜检。
1.5荚膜、脂多糖分型
将所有Pm菌株利用PCR方法对其目的基因进行扩增鉴定及分型。扩增引物参照表1中的序列。
表1鉴定Pm及其分型所用引物
|
引物用途 Primer usage |
目的基因 Target genes |
引物序列(5′→3′) Primer sequences (5′→3′) |
产物大小/bp Size of products |
|
鉴定Pm Identify Pm |
kmt |
ATCCGCTATTTACCCAGTGG GCTGTAAACGAACTCGCCAC |
460 |
|
鉴定A型荚膜 Identify serotypes A |
hyaD-hyaC |
TGCCAAAATCGCAGTCAG TTGCCATCATTGTCAGTG |
1 044 |
|
鉴定B型荚膜 Identify serotypes B |
bcbD |
CATTTATCCAAGCTCCACC GCCCGAGAGTTTCAATCC |
760 |
|
鉴定D型荚膜 Identify serotypes D |
dcbF |
TTACAAAAGAAAGACTAGGAGCCC CATCTACCCACTCAACCATATCAG |
657 |
|
鉴定E型荚膜 Identify serotypes E |
ecbJ |
TCCGCAGAAAATTATTGACTC GCTTGCTGCTTGATTTTGTC |
511 |
|
鉴定F型荚膜 Identify serotypes F |
fcbD |
AATCGGAGAACGCAGAAATCAG TTCCGCCGTCAATTACTCTG |
851 |
|
鉴定L1型脂多糖基因型 Identify L1 LPS genotypes |
- |
ACATTCCAGATAATACACCCG ATTGGAGCACCTAGTACCC |
1 307 |
|
鉴定L2型脂多糖基因型 Identify L2 LPS genotypes |
- |
CTTAAAGTAACACTCGCTATTGC TTTGATTTCCCTTGGGATAGC |
810 |
|
鉴定L3型脂多糖基因型 Identify L3 LPS genotypes |
- |
TGCAGGCGAGAGTTGATAAACCATC CAAAGATTGGTTCCAAATCTGAATGGA |
4 747 |
|
鉴定L4型脂多糖基因型 Identify L4 LPS genotypes |
- |
TTTCCATAGATTAGCAATGCCG CTTTATTTGGTCTTTATATATACC |
550 |
|
鉴定L5型脂多糖基因型 Identify L5 LPS genotypes |
- |
AGATTGCATGGCGAAATGGC CAATCCTCGTAAGACCCCC |
1 175 |
|
鉴定L6型脂多糖基因型 Identify L6 LPS genotypes |
- |
TCTTTATAATTATACTCTCCCAAGG AATGAAGGTTTAAAAGAGATAGCTGGAG |
668 |
|
鉴定L7型脂多糖基因型 Identify L7 LPS genotypes |
- |
CCTATATTTATATCTCCTCCCC CTAATATATAAACCATCCAACGC |
931 |
|
鉴定L8型脂多糖基因型 Identify L8 LPS genotypes |
- |
GAGAGTTACAAAAATGATCGGC TCCTGGTTCATATATAGGTAGG |
255 |
|
16S rRNA |
- |
AGAGTTTGATCCTGGCTCAG CTACGGCTACCTTGTTACG |
1 500 |
1.6 MLST分型
提取细菌基因组,由北京诺禾致源生物科技有限公司基于PE150双端测序策略高通量测序,测序数据1 GB,测序完成后通过FastQC对测序数据质控,利用Trimmomatic对原始数据过滤和优化,去掉数据中Adapter序列。利用组装软件SPAdes对测序数据组装,而后使用多位点序列MLST数据库(https://cge.food.dtu.dk/services/MLST/),将34株Pm与数据库7个管家基因(adk、aroA、deoD、g6pd、gdhA、mdh、pgi)进行比对,得到Pm的ST型。
1.7 PFGE分型
将Pm菌株划线接种于加5%无菌脱纤维绵羊血的TSA平板,H9812于固体LB平板37℃过夜培养;挑取单菌落于TSB培养基中培养后,将菌体用CSB液重悬;取400μL菌体悬液,20 mg·mL-1蛋白酶K储存液20μL,1%SKG低熔点胶400μL,混匀加入模具室温固化制成小胶块。将小胶块加入CLB裂解液中54℃裂解2 h,用预热的纯水洗涤2次,TE洗涤4次。将小胶块室温预酶切15 min,加入200μL含ApaⅠ酶的酶切液37℃孵育3 h,H9812用含XbaⅠ酶的酶切液孵育5 h,加0.5×TBE终止酶切。Pm的PFGE电泳条件,电泳结束,将胶块用Ⅰ型核酸染料染色后,利用凝胶成像系统进行扫描保存图像,用BioNumerics 7.6软件聚类分析图像。
1.8耐药性分析
1.8.1耐药基因的检测
二代测序数据利用组装软件SPAdes对测序数据组装,通过Center for Genomic Epidemiology(http://genomicepidemiology.org/services/)的ResFinder软件查找耐药基因。
1.8.2药敏试验
根据美国临床实验室标准委员会(CLSI)药敏指南,采用微量肉汤稀释法对34株猪源多杀性巴氏杆菌进行8种临床常用抗菌药物(四环素、多黏菌素B、氟苯尼考、环丙沙星、头孢噻呋、氯霉素、卡那霉素)的最小抑菌浓度(MIC)测定。以大肠杆菌ATCC 25922为标准质控菌株,结果判读参照CLSI标准。
1.9毒力试验
将45只8周龄的BALB/c小鼠随机分组,每组5只小鼠,两个试验组分别20只小鼠,对照组5只小鼠。根据分型结果选择荚膜A型菌株PmA1和荚膜D型菌株PmD4,将PmA1菌株浓度调整为6.3 CFU·mL-1~787.5 CFU·mL-1,PmD4菌株浓度调整为6.3×104 CFU·mL-1~6.3×107 CFU·mL-1,一组试验组对每只小鼠腹腔注射100μL不同浓度的PmA1菌悬液,另一组试验组对每只小鼠腹腔注射100μL不同浓度的PmD4菌悬液,对照组对每只小鼠腹腔注射100μL的无菌PBS,连续观察7 d,记录小鼠的发病和死亡情况,及时剖检小鼠并观察内脏病理变化,从肺、肝组织取样分离培养后,经PCR扩增kmt基因鉴定Pm。
2结果
2.1多杀性巴氏杆菌分离鉴定
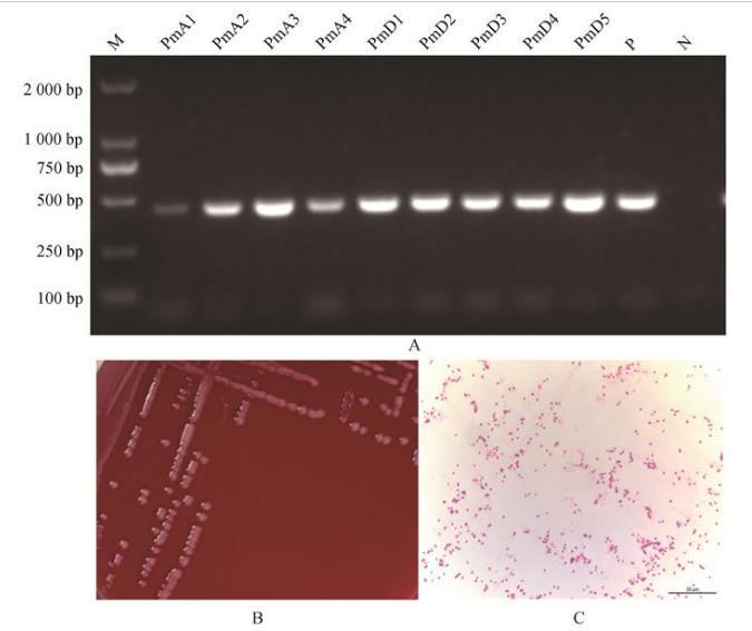
将病变组织涂布血平板培养后,挑取单菌落经16S rRNA PCR扩增测序,测序结果与GenBank中已有序列进行Blast比对,获得的Pm用PCR扩增kmt基因得到460 bp的特异性条带(图1A)。用接种环将Pm划线接种至血平板,可见长出表面光滑,湿润中间微凸,半透明的单一菌落(图1B),然后对其进行革兰氏染色,得到红色的球状或短杆状细菌(图1C)。
A.多杀性巴氏杆菌kmt基因PCR鉴定结果;B.Pm在血平板形成的菌落形态;C.Pm的革兰染色形态(1 000×)
图1多杀性巴氏杆菌kmt基因鉴定、菌落形态以及革兰染色
2.2多杀性巴氏杆菌荚膜,脂多糖基因型分型
本研究通过对34株Pm进行荚膜和脂多糖基因型鉴定,结果如图2:荚膜A型19株,荚膜D型14株,荚膜F型1株,所占百分比分别为55.88%、41.18%、2.94%;共鉴定出L3(23.53%)和L6(76.47%)两种脂多糖基因型;34株Pm中包含4种荚膜:脂多糖基因型组合,分别为A:L3(20.59%)、A:L6(35.29%)、D:L6(41.18%)和F:L3(2.94%),表明荚膜A型和D型,脂多糖基因型L3和L6型在黑龙江、辽宁和吉林等省份是猪源Pm的流行型。
图2 34株猪Pm的荚膜型、脂多糖基因型、荚膜:脂多糖基因型组合所占的百分比分布
相关新闻推荐
1、金黄色葡萄球菌:红霉素、庆大霉素和氧氟沙星时间-抑菌生长曲线分析(一)
2、香芹酚对恶臭假单胞菌生长、运动能力、产胞外蛋白酶和生物被膜能力影响(三)
3、制药废水生化处理过程中硝化菌分离筛选、生长曲线的测定(二)
